[로이슈 전여송 기자]
코골이 환자는 성인 10명 중 평균 3∼4명꼴로 많은 편이다. 2004년 한국인유전체역학조사사업에 참여한 대상자 자료 분석한 결과 수면다원검사에서 남성 27%, 여성 16%에서 코골이가 확인됐다. 3~12세 아이들은 평균 4~5명 중 한 명꼴로 나타난다.
김동현 가톨릭대학교 인천성모병원 교수는 “단순히 들리는 소리 때문에 코골이를 코에서 나는 소리로 생각하기 쉽지만 기도 내 기류가 여러 가지 원인으로 인해 좁아진 기도를 지나면서 늘어진 구개수(목젖), 혀, 입천장, 인두 등의 입이나 목 안의 구조물 또는 주위 구조물에 진동을 일으켜 발생하는 ‘호흡 잡음’이다”고 정의했다.
코골이는 대인관계뿐만 아니라 자신의 건강에도 상당한 문제를 초래한다. 보통 ‘코 고는 소리에 아내가 같은 방에서 잠을 자지 못합니다’, ‘잠자고 일어나도 개운하지 않고 두통이 있습니다’, ‘낮에도 졸려 일을 하거나 운전에 방해가 됩니다’ 같은 증상을 호소한다.
이외에도 수면 중 잠을 자주 깨고 몸을 많이 뒤척이거나 땀을 많이 흘리며 숨이 막힐 것 같은 느낌을 가질 수 있고, 낮 동안에는 기억력·판단력·집중력 감소, 성격 변화 등이 나타날 수 있다. 또한 심장과 폐에 부담을 줘 고혈압 등 심혈관계 질환을 일으키는 중요한 요소가 되기도 한다.
단순히 코골이만 있는 경우도 있지만 1/3 이상은 ‘수면무호흡증’을 동반한다. 수면무호흡증이 매일 밤 되풀이되면 낮 동안 심한 졸림증과 피로감을 느끼게 되고 종종 교통사고의 원인이 되기도 한다. 최근 코골이나 수면무호흡이 노인의 기억력 저하뿐만 아니라 사물을 인식하는 능력에도 장애를 유발한다는 연구결과가 국내외 여러 학회에서 보고되고 있다.
코골이의 생리적인 원인은 노령, 호르몬 이상, 비만 등으로 그중에서 비만이 가장 중요한 역할을 하는 것으로 알려져 있다. 해부학적 원인으로는 코 저항을 증가시키는 여러 가지 코질환이 있고, 소아의 경우 아데노이드증식증, 구강 인두 점막의 비후 등이 있다. 또한 연구개가 늘어져 있거나 편도선이 커져 있는 경우처럼 기도의 해부학적 이상이 원인이 될 수 있다. 유발인자로 흡연, 음주, 항히스타민제나 진정제 같은 약물의 복용 등이 있다.
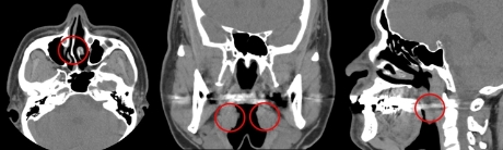
코골이를 진단하기 위해서는 호흡에 관여하는 코, 목, 편도 등에 관한 철저한 검사가 필요하다. 먼저 ▲코 안의 용종(물혹) ▲비중격 만곡증(코뼈가 휜 것) ▲만성 비염 ▲편도 비대증 ▲대설증(혀가 큰 것) 등과 같은 구조적 이상 유무를 확인한다. 이어 체중, 비만의 정도를 관찰하고 합병증과 관련 있는 고혈압, 부정맥 등 심혈관계에 대한 검사를 진행한다. 치료방침을 정하기 위해서는 내시경이나 X-ray, CT(컴퓨터단층촬영) 검사 등을 통해 폐쇄 부위를 정확히 확인하는 것이 중요하다.
아울러 수면다원검사를 통해 코골이와 수면무호흡증을 진단한다. 수면다원검사는 병원에서 하룻밤을 자면서 뇌파·근전도·호흡·심전도·안전도 등을 측정한다. 시간당 무호흡 및 저호흡이 몇 회나 되는지, 중증도는 어느 정도 되는지 판단할 수 있다. 낮에 과도하게 졸리고 잠이 들거나 깰 때 환각·수면마비 같은 증상을 보이는 기면증 등 다른 수면 질환이나 부정맥 진단에 도움이 될 수 있다.
코골이나 수면무호흡증은 한 가지 원인만으로 생기는 경우는 드물다. 체중감소를 위한 규칙적인 운동, 수면자세, 금주, 금연 등 생활습관 개선이 가장 중요하다. 최근에는 혀끝을 입천장에 대고 혀를 뒤쪽으로 밀어뜨리는 것과 목젖을 울리면서 ‘아’ 소리를 내는 ‘구강인두훈련(oropharyngeal exercise)’을 매일 했을 때 코골이가 36% 감소했다는 연구결과도 있다.
경우에 따라 항우울제나 프로게스테론(progesterone) 같은 약물치료를 할 수도 있다. 또한 양압기 등 입안에 마우스피스처럼 착용하는 구강 내 장치라는 기구의 도움을 받을 수 있다. 수술적인 방법으로는 코골이나 수면무호흡증이 발생한 부위의 일부를 수술로 제거하거나 근육 또는 점막의 떨림을 줄이는 방법이 있다.
김동현 인천성모병원 교수는 “코골이를 예방하기 위해서는 무엇보다 취침 전 식사는 가급적 삼가고 금주, 금연, 적절한 운동, 체중 관리 등 건강한 수면에 도움이 되는 생활습관 개선이 중요하다”고 말했다.
전여송 로이슈(lawissue) 기자 arrive71@lawissue.co.kr
코골이는 코에서 나는 소리가 아니다?
기사입력:2020-03-11 17:35:20
<저작권자 © 로이슈, 무단 전재 및 재배포 금지>
로이슈가 제공하는 콘텐츠에 대해 독자는 친근하게 접근할 권리와 정정ㆍ반론ㆍ추후 보도를 청구 할 권리가 있습니다.
메일:law@lawissue.co.kr / 전화번호:02-6925-0217
메일:law@lawissue.co.kr / 전화번호:02-6925-0217
주요뉴스
핫포커스
투데이 이슈
투데이 판결 〉
베스트클릭 〉
주식시황 〉
| 항목 | 현재가 | 전일대비 |
|---|---|---|
| 코스피 | 3,953.76 | ▼72.69 |
| 코스닥 | 876.81 | ▼21.36 |
| 코스피200 | 557.98 | ▼10.40 |
가상화폐 시세 〉
| 암호화폐 | 현재가 | 기준대비 |
|---|---|---|
| 비트코인 | 154,300,000 | ▲574,000 |
| 비트코인캐시 | 745,000 | ▲1,000 |
| 이더리움 | 5,259,000 | ▲14,000 |
| 이더리움클래식 | 24,220 | ▲100 |
| 리플 | 3,445 | ▲12 |
| 퀀텀 | 2,891 | ▲36 |
| 암호화폐 | 현재가 | 기준대비 |
|---|---|---|
| 비트코인 | 154,425,000 | ▲675,000 |
| 이더리움 | 5,259,000 | ▲15,000 |
| 이더리움클래식 | 24,240 | ▲90 |
| 메탈 | 702 | ▲7 |
| 리스크 | 309 | ▲1 |
| 리플 | 3,447 | ▲17 |
| 에이다 | 859 | ▲7 |
| 스팀 | 127 | 0 |
| 암호화폐 | 현재가 | 기준대비 |
|---|---|---|
| 비트코인 | 154,290,000 | ▲580,000 |
| 비트코인캐시 | 743,500 | ▼500 |
| 이더리움 | 5,255,000 | ▲10,000 |
| 이더리움클래식 | 24,220 | ▲100 |
| 리플 | 3,443 | ▲17 |
| 퀀텀 | 2,831 | 0 |
| 이오타 | 209 | ▲3 |











