[로이슈 이재승 기자] 폭염으로 온 나라가 뜨거운 가마솥 왕국처럼 펄펄 끓고 있다. 강렬한 햇빛으로 높아진 자외선에 피부를 보호하기 위해 선크림을 바르거나 양산, 팔토시 등을 사용하는 경우가 많다. 하지만 자외선에 취약해 주의해야할 신체부위는 다름 아닌 바로 눈이다. 여름철에는 특히 황반 변성에 영향을 주는 자외선 차단이 매우 중요하다.
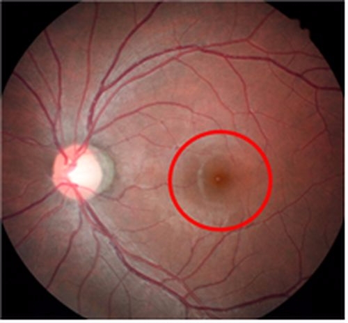
황반변성은 당뇨망막병증, 녹내장과 함께 국내 3대 실명 질환 중 하나로 여러 가지 원인에 의해 황반부가 변성을 일으키는 것을 말한다. 즉, 눈 안쪽 망막 중심부에 위치한 황반부에 변화가 생겨 시력장애가 생기는 질환이다. 황반은 눈의 안쪽 망막의 중심부를 구성하는 신경 조직이다.
앞을 볼 수 있게 해주는 시세포들이 대부분 황반에 모여 있으며, 물체의 상이 맺히는 곳이기 때문에, 황반은 시력을 유지하는 데 가장 중요한 구조물이라고 할 수 있다.
황반 변성을 일으키는 가장 흔한 원인은 연령 증가로 알려져 있으나, 이 외에도 자외선, 가족력, 흡연 등이 연관되어 있다. 그래서 햇빛이 강해지는 여름철에는 황반 변성의 발병률이 높아질 수 있기 때문에 나이가 들수록 자외선 노출에 더욱 주의해야 한다.
문제는 황반변성을 포함한 망막질환은 초기에 발견하기 쉽지 않다는 점이다. 황반 변성이 오면 초기에는 사물이 찌그러져 보이거나, 시야에서 일정 부분이 공백으로 나타나며, 명암을 잘 구분하지 못하게 된다. 시간이 지나면서 변성 부위가 많아지게 되고, 결국 시력은 점차 감소하게 된다.
황반변성은 심한 경우, 실명까지 이어질 수 있는 무서운 질환이다. 황반은 뇌에서 눈으로 나오는 신경 조직으로 황반 변성과 같은 손상을 입게 되면 다시 원래의 상태로 돌아오기 힘든 구조물이므로 주의 깊은 관리가 필요하다.
인제대학교 상계백병원 안과 황제형 교수는 “일상생활에서 실명을 유발하는 황반 변성 예방법 5가지로 안경이나 모자 등 착용해 자외선 차단하며 발병 위험률 높이는 흡연을 자제하고 색깔 있는 야채, 눈에 도움이 되는 영양제를 통한 비타민 섭취해야 한다” 며 “유산소 운동을 통해 혈액순환을 도와 황반 변성 예방함과 동시에 40대 전후로 안과 정기검진으로 조기발견에 힘써야 한다”고 조언했다.
이재승 기자 jasonbluemn@lawissue.co.kr
뜨거운 태양아래 자외선 ‘황반변성 실명 유발’ 주의
기사입력:2017-08-07 15:09:21
<저작권자 © 로이슈, 무단 전재 및 재배포 금지>
로이슈가 제공하는 콘텐츠에 대해 독자는 친근하게 접근할 권리와 정정ㆍ반론ㆍ추후 보도를 청구 할 권리가 있습니다.
메일:law@lawissue.co.kr / 전화번호:02-6925-0217
메일:law@lawissue.co.kr / 전화번호:02-6925-0217
주요뉴스
핫포커스
투데이 이슈
투데이 판결 〉
베스트클릭 〉
주식시황 〉
| 항목 | 현재가 | 전일대비 |
|---|---|---|
| 코스피 | 5,450.33 | ▲73.03 |
| 코스닥 | 1,047.37 | ▼16.38 |
| 코스피200 | 811.84 | ▲13.52 |
가상화폐 시세 〉
| 암호화폐 | 현재가 | 기준대비 |
|---|---|---|
| 비트코인 | 105,131,000 | ▲444,000 |
| 비트코인캐시 | 659,000 | 0 |
| 이더리움 | 3,253,000 | ▲12,000 |
| 이더리움클래식 | 12,940 | ▲20 |
| 리플 | 2,030 | ▲3 |
| 퀀텀 | 1,414 | ▼2 |
| 암호화폐 | 현재가 | 기준대비 |
|---|---|---|
| 비트코인 | 105,124,000 | ▲445,000 |
| 이더리움 | 3,255,000 | ▲13,000 |
| 이더리움클래식 | 12,940 | ▼10 |
| 메탈 | 440 | ▲5 |
| 리스크 | 190 | ▲2 |
| 리플 | 2,031 | ▲6 |
| 에이다 | 382 | ▼2 |
| 스팀 | 89 | ▲0 |
| 암호화폐 | 현재가 | 기준대비 |
|---|---|---|
| 비트코인 | 105,150,000 | ▲480,000 |
| 비트코인캐시 | 658,000 | ▼1,500 |
| 이더리움 | 3,254,000 | ▲11,000 |
| 이더리움클래식 | 12,930 | ▲50 |
| 리플 | 2,030 | ▲4 |
| 퀀텀 | 1,418 | ▼1 |
| 이오타 | 88 | 0 |









