서울대병원 정형외과 이동연 교수 연구팀은 보존적 치료를 받아온 만성 족관절 불안정증 환자 252명을 조사한 연구결과를 22일 발표했다고 밝혔다.
만성 족관절 불안정증은 반복적으로 발목 염좌가 발생하는 증상이다. 관절의 인대가 늘어나거나 찢어지는 염좌는 일상에서도 쉽게 경험할 수 있다.
늘어난 인대는 대개 시간이 지나면서 회복된다. 다만 증상이 심하거나 인대가 비정상적으로 복원되면 발목이 불안정해질 수 있다. 결국 같은 부위를 계속해서 다치는 만성 족관절 불안정증에 이르게 된다.
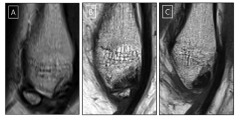
연구에 따르면, 참여한 만성 족관절 불안정증 환자 3명 중 1명은 비골하부골이 관찰됐다. 비골하부골은 인대가 손상될 때 함께 떨어져나갔지만 회복과정에서 봉합되지 못한 뼛조각이다. 또한, 관찰된 뼛조각의 80%는 타원형이었으며 크기도 비교적 컸다.
이번 연구는 발목에 뼛조각이 발견되면 적극적 수술이 필요할 수 있음을 시사한다. 만성 족관절 불안정증 환자 중 상당수에서 뼛조각이 발견됐기 때문이다. 특히 형태가 타원형이거나 크기가 크다면 보존적 치료에 실패할 가능성이 더 높은 만큼 보다 적극적 치료를 고민해야 한다.

이번 연구에 참여한 만성 족관절 불안정증 환자의 타원형 뼛조각. 뼛조각이 있으면 만성 족관절 불안정증으로 이어질 가능성이 높으며, 특히 타원형인 경우 위험이 더 높은 것으로 나타났다. 사진=서울대병원
이미지 확대보기이 교수는 “이번 연구는 발목 불안정증을 호소하는 환자의 상당수에서 뼛조각이 발견됐고, 형태에 따라 보존적 치료보다 적극적 치료가 효과적일 수 있다는 사실을 밝혔다” 며 “특히 소아청소년기에 발목 외상이 생기면 뼛조각이 발생할 가능성이 높아지는 만큼, 석고 고정 등 적극적 치료가 권장 된다”고 밝혔다.
이번 연구는 미국족부족관절정형외과 공식 학회지 (Foot and ankle international) 2월호에 게재됐다.
전여송 로이슈(lawissue) 기자 arrive71@lawissue.co.kr










