[로이슈 임한희 기자] 국민건강보험관리공단에 따르면 2017년 무릎인공관절치환술을 받은 환자 수는 66,800명으로 2013년 52,701명에서 4년 사이 약 14,000명(26%)가 늘어난 것으로 나타났다. 특히 남/여 모두 60대 이상 환자가 높은 비중을 나타냈다.
전문의들은 명절을 맞아 찾아 봰 부모님께서 무릎 통증을 호소하고, 퇴행성 관절염으로 인한 인공관절 수술을 고민하고 있다면, 우선 부모님 무릎의 손상된 정도를 파악하기를 권고한다. 흔히 ‘인공관절 수술’, 특히 무릎 인공관절 수술하면 무릎 조직을 통째로 바꾸는 것으로 알려져 있지만 무릎의 고장 난 부위만 선택적으로 인공관절을 적용하는 부분치환술을 활용할 수 있기 때문이다.
전문의들은 부분치환술의 경우 손상된 무릎의 일부만 인공관절로 대체하고, 인대 등 아직 싱싱한 자신의 생체 조직을 최대한 이용하는 방식이어서 환자의 육체적 부담감, 수술 후 회복 속도 등에서 차이가 나고 이를 통해 구현되는 삶의 질이 달라질 수 있다고 강조한다.
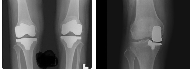
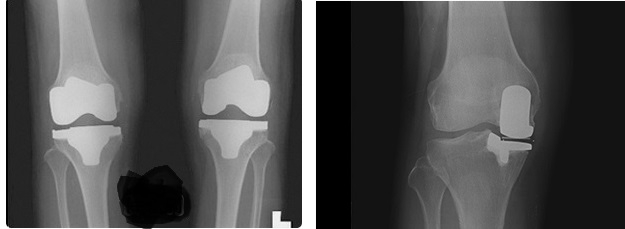
퇴행성관절염은 관절이 노화되면서 생긴다. 체중의 75~90%가 부하되는 무릎이 가장 취약하다. 약물과 주사요법만으로 치료가 힘들 만큼 상태가 악화되면 결국 관절 자체를 교체해줘야 한다. 무릎 인공관절 수술은 손상된 관절 연골 부분을 절제한 뒤 특수 금속으로 제작한 인공관절을 넣어 통증을 없애고, 운동성을 회복시켜주는 수술이다. 수술 방식은 크게 전치환술과 부분치환술로 구분한다.
전치환술은 한마디로 퇴행성 관절염 환자에게 적용하는 마지막 방법이라고 할 수 있다. 대퇴원위부, 경골근위부의 연골판, 십자인대, 관절연골과 뼈 부분 등 무릎 전체를 제거한 뒤 환자 무릎 구조와 가장 흡사한 규격의 인공관절을 만들어 새로 끼워 넣는 방법이다.
이와 달리 부분치환술은 최대한 환자의 인대와 구조물을 살리면서 관절염이 심한 곳의 조직만을 제거한 뒤 여기에 맞춰 인공관절 조직을 삽입하는 방법이다. 이 경우 환자는 전치환술에 비해 조직의 이물감을 덜 느끼며, 수술 다음날부터 목발 없이 걸을 수 있을 정도로 운동성도 좋은 편이다. 또 관절염이 발생한 부위만 선택적으로 수술하기 때문에 골 손실이 적어 향후 부작용이 생길 가능성이 적고, 문제가 생겨도 이후 다양한 치료가 가능하다.
전치환술은 10~12cm 가량을 절개, 무릎 조직 전체를 드러낸 상태에서 수술을 하지만, 부분치환술은 7~8cm만 절개하기 때문에 출혈이 적고, 회복 기간도 짧다. 특히 부분치환술의 경우 출혈량이 100cc 내외로 전치환술의 4분의 1 정도에 불과하기 때문에 수혈량을 최소로 줄이는 것이 가능하다. 인공관절 수술 후 감염의 가장 큰 원인 중의 하나인 수혈을 대폭적으로 줄여 그만큼 감염 부작용을 줄일 수 있다.
이러한 이유로 부분치환술은 전치환술에 비해 일상생활 복귀에 걸리는 시간이 짧다. 전치환술은 수술 2주 후부터 혼자 걷기 시작해 4주 후 일상생활로 복귀할 수 있는데 비해, 부분치환술은 2주 후부터 일상생활 복귀가 가능하다.
하지만 모든 퇴행성관절염 환자가 부분치환술을 받을 수 있는 것이 아니다. 부분치환 수술이 이점이 많긴 하지만 다리가 바깥으로 휘어져 있다면 다리의 정렬 축을 맞추는 수술이 필요하고 정상인 나머지 관절이 나중에 손상되면 재수술을 해야 한다. 내외측 관절이 모두 손상되어있는 환자는 전치환수술을 받아야 한다.
김준한 정형외과 전문의은 “무릎 관절은 내측과 외측의 두 부위가 맞닿는데 대부분의 퇴행성관절염 환자는 내측 관절 조직부터 손상된다” 며 "원래 동양인의 다리가 O자로 조금 휘어 있어 내측 관절에 하중이 더 실리는 경향이 많은데 내측 관절만 망가진 환자는 이 부분만 고치면 되는데도 멀쩡한 조직까지 모두 잘라내는 전치환 수술을 하거나 약으로 버티는 경우가 많았다” 고 말했다.
김준한 원장은 “무릎 조직을 일부만 교체해도 정말 문제는 없을까 라는 질문을 많이 받는다” 며 “관절염이 심한 곳을 제외한 다른 곳의 인대가 튼튼하고, 구조물이 안정적이면 일부만 교체해도 전혀 문제가 없다” 고 강조한다.
따라서 수술 전 MRI 등을 활용한 정밀검사로 전방십자인대 등 무릎 전체 인대와 외측 관절이 건강한 지를 반드시 확인해야 한다. 검사 결과를 두고 전문의와 상담도 충분히 이뤄져야 한다. 환자의 상태가 부분치환술에 적합한지 정확히 판정할 수 있어야 하므로 임상 경험이 풍부한 전문의를 찾는 것이 중요하다. 부분치환 수술은 정상 연골과 이식한 인공관절이 완벽하게 균형을 맞춰야 하기 때문에 수술이 까다롭다. 김준한 원장은 "그래서 수술하는 의사의 경험에 따라 수술 결과가 천차만별"이라고 말한다.
부분치환술은 수술도 중요하지만, 이후 재활치료와 관리도 매우 중요하다. 경직된 무릎관절 운동 범위를 충분히 늘려줘야 하며, 골반에서 대퇴부 앞면으로 내려가 무릎까지 이어지는 사두근을 강화해 평형성과 유연성을 유지하도록 해야 한다. 아쿠아로빅은 무릎 부담이 크지 않고, 운동 효과도 커서 바람직한 운동으로 꼽힌다. 아쿠아로빅이 여의치 않으면 단순히 평지를 걷는 것만으로도 충분하다. 운동시간은 처음에 20분 정도로 시작해 1시간까지로 늘려 가면 근력강화를 기대할 수 있다.
김 원장은 “무릎 관절염 환자들은 대책 없이 무릎 통증을 참기만 하다가 끝내 무릎 전체를 교체하는 사례가 생각보다 많다” 며 “부분치환술로 비용과 회복 기간을 줄여 일상생활에 빨리 복귀하는 것이 환자에게 더 유리하다” 조언했다.
임한희 기자 newyork291@lawissue.co.kr
[메디컬 live] 퇴행성 관절염 '무릎', 손상된 부위에 따른 인공관절 부분 치환술 가능?
기사입력:2019-02-14 01:41:11
<저작권자 © 로이슈, 무단 전재 및 재배포 금지>
로이슈가 제공하는 콘텐츠에 대해 독자는 친근하게 접근할 권리와 정정ㆍ반론ㆍ추후 보도를 청구 할 권리가 있습니다.
메일:law@lawissue.co.kr / 전화번호:02-6925-0217
메일:law@lawissue.co.kr / 전화번호:02-6925-0217
주요뉴스
핫포커스
투데이 이슈
투데이 판결 〉
베스트클릭 〉
주식시황 〉
| 항목 | 현재가 | 전일대비 |
|---|---|---|
| 코스피 | 4,084.20 | ▲130.44 |
| 코스닥 | 887.81 | ▲11.00 |
| 코스피200 | 577.31 | ▲19.33 |
가상화폐 시세 〉
| 암호화폐 | 현재가 | 기준대비 |
|---|---|---|
| 비트코인 | 157,569,000 | ▲299,000 |
| 비트코인캐시 | 748,500 | 0 |
| 이더리움 | 5,354,000 | ▼4,000 |
| 이더리움클래식 | 24,250 | ▲190 |
| 리플 | 3,640 | ▼19 |
| 퀀텀 | 2,896 | ▼6 |
| 암호화폐 | 현재가 | 기준대비 |
|---|---|---|
| 비트코인 | 157,600,000 | ▲190,000 |
| 이더리움 | 5,352,000 | ▼8,000 |
| 이더리움클래식 | 24,260 | ▲210 |
| 메탈 | 696 | ▼2 |
| 리스크 | 310 | ▲2 |
| 리플 | 3,642 | ▼19 |
| 에이다 | 871 | ▼3 |
| 스팀 | 127 | ▼1 |
| 암호화폐 | 현재가 | 기준대비 |
|---|---|---|
| 비트코인 | 157,500,000 | ▲190,000 |
| 비트코인캐시 | 747,500 | ▼2,500 |
| 이더리움 | 5,355,000 | ▼5,000 |
| 이더리움클래식 | 24,230 | ▲200 |
| 리플 | 3,642 | ▼19 |
| 퀀텀 | 2,882 | ▼20 |
| 이오타 | 215 | ▲2 |









