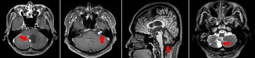
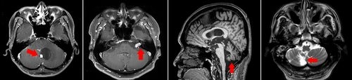
[로이슈 이재승 기자] 올해 28세인 취업준비생 A씨는 두 달 전부터 어지럼증을 겪기 시작했다. 책상에서 갑자기 일어나거나 고개를 휙 돌리면 어지럼증이 더욱 심해졌다. 처음에는 취업 스트레스로 인한 것이라고 생각해 대수롭지 않게 넘겼지만, 토익 시험을 볼 때조차 지문에 집중하기 힘들어지자 심각성을 느껴 가까운 병원을 찾았다. 병원에서 이석증이라는 진단을 받아 약물을 꾸준히 복용했지만 전혀 호전이 없었고 최근에는 증상이 더 심해져, 어두운 곳에 가거나 밤거리를 걸을 때면 휘청거리고 균형을 잡을 수 없어 친구들의 부축을 받아야 했다. 주변 권유로 모 대학병원을 찾은 A씨는 MRI 검사 결과 소뇌종양을 진단받고 큰 충격을 받았다.
어지럼증은 다양한 원인에 의해 발생하지만, A씨처럼 뇌의 구조적, 기능적 이상에 의해 발생한 어지럼증을 ‘중추성 어지럼증’이라고 한다. 어지럼증을 호소하는 사람들의 4명 중 1명이 뇌졸중, 뇌종양, 퇴행성 뇌질환 등 뇌의 문제로 발생하는 중추성 어지럼증에 속하는데, 문제는 속귀에 위치한 전정기관의 이상으로 인해 생기는 말초성 어지럼증과 증상만으로는 구분이 어렵다는 점이다.
따라서 이석증 등의 말초성 어지럼증으로 진단 받은 경우에도, 증상이 호전되지 않는다면 중추성 원인을 의심해봐야 한다.
중추성 어지럼증의 주 원인이 되는 질환으로 뇌경색과 뇌출혈을 비롯한 뇌졸중, 뇌종양, 퇴행성 뇌질환 등이 있는데, 이러한 뇌질환은 진단 및 치료시기를 놓치면 심각한 후유증을 남길 수 있으며 심한 경우 생명까지 잃을 수 있어 주의가 필요하다.
◇조기 발견해 후유증 최소화하면 뇌 회복 여지 높아... 꾸준한 약물 및 전정운동치료 통해 호전 가능
중추성 어지럼증의 대표적 원인질환 중 하나로 뇌졸중이 있다. 실제로 뇌졸중이 발생하기 전 약 10%의 환자들은 갑자기 어지럽고 비틀거리는 증상을 경험하는 것으로 알려져 있다. 그런데 어지럼증을 보이는 뇌졸중 환자들은 초기 MRI 검사에서 문제를 발견하지 못하는 경우가 20%에 달하며, 마비 등 눈에 보이는 증상이 나타나는 뇌졸중에 비해 오진 위험이 무려 2배나 높아 주의가 필요하다. 뿐만 아니라 전정기관을 담당하는 신경에 손상을 입어 발생하는 말초 전정신경염 또한 뇌졸중 전조 현상과 비슷한 급성 어지럼증을 유발하기 때문에, 정확한 진단을 위해 자세한 병력청취와 신체검사가 필요하며, MRI 같은 뇌영상검사를 시행하는 것이 안전하다.
특히 어지럼증이 심한 자세불안, 발음 장애, 물체가 겹쳐 보이는 증상과 함께 나타나면 MRI 검사에서 문제가 발견되지 않더라도 뇌경색일 가능성이 높다.
뇌종양이 있는 경우에도 종양이 서서히 자라면서 어지럼증과 두통을 느끼게 된다. 주로 50대에서 60대에서 많이 발병하긴 하지만 최근에는 젊은 층의 유병율도 높아지는 추세라 안심할 수 없다. 뇌졸중의 경우 고혈압이나 당뇨가 있는 사람에게서 주로 발생하는데 반해 뇌종양은 뚜렷한 원인 및 예방책이 없어 더 무서운 질환이다. 어지럼증과 함께 종양 위치에 따라 말이 어눌해지는 등 언어장애가 나타나거나 엉뚱한 행동을 하기도 한다.
조기진단을 통해 질환의 진행 속도를 늦추고 생존율을 높일 수 있으므로, 증상이 나타날 시 방치하지 말고 병원을 찾아야 한다.
퇴행성 뇌질환 환자에게도 지속적인 만성 중추 어지럼증이 나타나는데, 초기에는 증상이 경미하고 영상검사도 정상으로 나타나는 경우가 많아 조기에 치료할 기회를 놓치기 쉽다. 하지만 영상검사가 정상이더라도 눈 운동 장애가 있거나 팔과 다리를 제대로 가눌 수 없는 증상이 함께 나타나는 경우 퇴행성 뇌질환일 가능성이 높기 때문에, 경미한 어지럼증일지라도 수개월간 지속된다면 자세한 진찰과 검사를 받는 것이 좋다.
분당서울대병원 신경과 최정윤 교수는 “어지럼증에는 다양한 원인이 있을 수 있는데, 서있을 때 중심을 잡기 어려운 자세불안 증상 혹은 두통과 함께 어지럼증이 지속적으로 나타난다면 뇌질환으로 인한 중추성 어지럼증일 가능성이 높아, 신속히 병원을 찾아 원인질환을 밝혀내고 치료를 시작해야 한다”면서, “조기진단과 치료를 통해 후유증을 최소화 할수록 뇌가 회복될 여지가 크며, 약물과 전정운동치료를 꾸준히 실시하면 호전될 수 있다”고 강조했다.
이재승 기자 jasonbluemn@lawissue.co.kr
지속되는 어지럼증과 두통, 뇌질환을 의심해야 한다
어지럼증 보이는 사람 중 25%는 뇌의 구조적·기능적 이상으로 발생 기사입력:2017-10-18 11:23:40
<저작권자 © 로이슈, 무단 전재 및 재배포 금지>
로이슈가 제공하는 콘텐츠에 대해 독자는 친근하게 접근할 권리와 정정ㆍ반론ㆍ추후 보도를 청구 할 권리가 있습니다.
메일:law@lawissue.co.kr / 전화번호:02-6925-0217
메일:law@lawissue.co.kr / 전화번호:02-6925-0217
주요뉴스
핫포커스
투데이 이슈
투데이 판결 〉
베스트클릭 〉
주식시황 〉
| 항목 | 현재가 | 전일대비 |
|---|---|---|
| 코스피 | 5,450.33 | ▲73.03 |
| 코스닥 | 1,047.37 | ▼16.38 |
| 코스피200 | 811.84 | ▲13.52 |
가상화폐 시세 〉
| 암호화폐 | 현재가 | 기준대비 |
|---|---|---|
| 비트코인 | 104,311,000 | ▼180,000 |
| 비트코인캐시 | 658,000 | ▼3,000 |
| 이더리움 | 3,219,000 | ▼12,000 |
| 이더리움클래식 | 13,000 | ▼90 |
| 리플 | 2,022 | ▼4 |
| 퀀텀 | 1,415 | ▼15 |
| 암호화폐 | 현재가 | 기준대비 |
|---|---|---|
| 비트코인 | 104,309,000 | ▼227,000 |
| 이더리움 | 3,215,000 | ▼16,000 |
| 이더리움클래식 | 13,000 | ▼90 |
| 메탈 | 435 | ▼1 |
| 리스크 | 188 | 0 |
| 리플 | 2,022 | ▼5 |
| 에이다 | 383 | ▼1 |
| 스팀 | 89 | ▼0 |
| 암호화폐 | 현재가 | 기준대비 |
|---|---|---|
| 비트코인 | 104,350,000 | ▼140,000 |
| 비트코인캐시 | 658,000 | ▼3,000 |
| 이더리움 | 3,218,000 | ▼14,000 |
| 이더리움클래식 | 12,990 | ▼80 |
| 리플 | 2,023 | ▼3 |
| 퀀텀 | 1,427 | ▼4 |
| 이오타 | 89 | ▼0 |









