[로이슈 전여송 기자] 오목가슴에 대한 최소침습수술인 너스수술을 시행할 때 삽입하는 막대에 사각고정법을 적용하면 재수술률을 획기적으로 줄일 수 있다는 연구결과가 발표됐다.
가톨릭대학교 인천성모병원 흉부외과 정진용 교수팀은 너스수술 시 오목가슴 교정용 금속막대 여러 개를 삽입한 후 이들이 움직이는 것을 방지하는 사각고정법을 시행해 재수술 확률을 획기적으로 낮췄다고 31일 밝혔다.
인천성모병원에 따르면 1998년 미국에서 시작된 너스수술은 양 옆구리 피부를 1㎝ 정도 절개한 뒤, 활처럼 휜 교정용 금속막대를 갈비뼈 안쪽에 삽입해 함몰된 가슴뼈와 연골을 들어 올려주는 최소침습수술이다. 삽입된 교정막대는 보통 2~3년 후 제거한다.
하지만 너스수술은 교정을 위해 삽입하는 막대의 위치이동(전위)으로 발생하는 수술 실패나 재수술이 고질적인 문제로 지적돼 왔다.
오목가슴은 가슴뼈의 선천성 기형 중 가장 흔한 형태로, 갈비뼈와 가슴뼈 연결 부위인 가슴연골 등이 가슴 안쪽으로 오목하게 들어가 있는 상태를 말한다. 선천적으로 가슴뼈와 연결된 연골 및 늑골의 일부가 움푹하게 함몰된 기형으로 흉통, 호흡곤란, 폐렴, 척추측만증 등을 유발할 수 있다. 약 1000명 중 1명꼴로 나타난다.
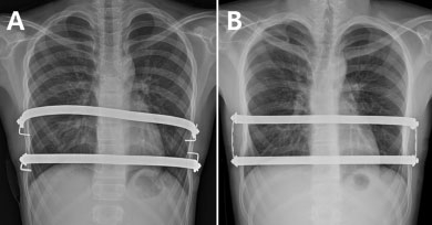
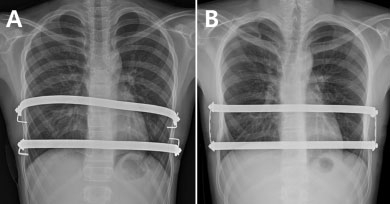
가톨릭대 인천성모병원 정진용 교수팀은 기존 2개의 교정 막대를 개별적으로 고정하는 ‘분리고정 수술법’(사진A)과, 각 교정 막대 양 끝을 작은 금속 막대로 연결해 사각형 형태로 고정하는 ‘사각고정 수술법’(사진B)의 결과를 비교 분석했다.
정 교수팀은 2011년 9월부터 2016년 1월까지 2개의 금속막대를 삽입한 너스수술 환자 86명을 교정 막대의 양쪽 측면을 각각 고정한 A군(44명, 사진A)과 각 교정 막대를 세로형 막대와 연결해 사각형 형태로 고정 시킨 B군(42명, 사진B)으로 나눴다.
이후 두 그룹의 ▲오목가슴의 함몰 정도를 나타내는 핼러 지수(HI, Haller Index) ▲수술 후 교정 막대의 위치변화를 보여주는 막대전위 지수(BDI, Bar Displacement Index) ▲재수술률 등을 비교했다.
연구결과, 수술 후 A군에서 막대 전위로 재수술한 경우가 6.8%(3명)인 데 반해 B군에서는 재수술이 단 한 건도 없었다. A군과 B군에서 수술 전후 핼러 지수 차이는 나타나지 않았다.
이를 통해 연구팀은 사각고정 방법이 분리고정 수술에 비해 막대 전위를 보다 효과적으로 방지하고, 이로 인한 재수술을 최소화할 수 있다는 결과를 확인했다.
가톨릭대 인천성모병원 흉부외과 정진용 교수는 “오목가슴 교정을 위해 삽입한 교정 막대의 변위는 심각한 합병증을 초래할 수 있다”며 “너스수술 시 사각고정 수술법을 사용하면 기존의 더블 바를 분리 고정하는 것보다 바의 변위를 보다 효과적으로 방지할 수 있는 것은 물론, 이를 통해 재수술률도 획기적으로 낮출 수 있다”고 말했다.
연구결과는 흉부외과 SCI 국제학술지인 ‘The Thoracic and Cardiovascular Surgeon’에 게재됐다.
전여송 로이슈(lawissue) 기자 arrive71@lawissue.co.kr
인천성모병원 정진용 교수팀, 사각고정으로 오목가슴 재수술률↓
기사입력:2019-12-31 15:37:49
<저작권자 © 로이슈, 무단 전재 및 재배포 금지>
로이슈가 제공하는 콘텐츠에 대해 독자는 친근하게 접근할 권리와 정정ㆍ반론ㆍ추후 보도를 청구 할 권리가 있습니다.
메일:law@lawissue.co.kr / 전화번호:02-6925-0217
메일:law@lawissue.co.kr / 전화번호:02-6925-0217
주요뉴스
핫포커스
투데이 이슈
투데이 판결 〉
베스트클릭 〉
주식시황 〉
| 항목 | 현재가 | 전일대비 |
|---|---|---|
| 코스피 | 5,377.30 | ▲143.25 |
| 코스닥 | 1,063.75 | ▲7.41 |
| 코스피200 | 798.32 | ▲23.69 |
가상화폐 시세 〉
| 암호화폐 | 현재가 | 기준대비 |
|---|---|---|
| 비트코인 | 101,509,000 | ▲57,000 |
| 비트코인캐시 | 673,500 | ▲500 |
| 이더리움 | 3,114,000 | ▼1,000 |
| 이더리움클래식 | 12,440 | ▲80 |
| 리플 | 2,000 | ▲2 |
| 퀀텀 | 1,465 | ▼22 |
| 암호화폐 | 현재가 | 기준대비 |
|---|---|---|
| 비트코인 | 101,483,000 | ▲4,000 |
| 이더리움 | 3,114,000 | ▲1,000 |
| 이더리움클래식 | 12,450 | ▲90 |
| 메탈 | 431 | ▼1 |
| 리스크 | 188 | 0 |
| 리플 | 1,999 | ▲2 |
| 에이다 | 373 | 0 |
| 스팀 | 89 | ▼1 |
| 암호화폐 | 현재가 | 기준대비 |
|---|---|---|
| 비트코인 | 101,500,000 | ▲20,000 |
| 비트코인캐시 | 673,500 | ▲1,500 |
| 이더리움 | 3,112,000 | ▼2,000 |
| 이더리움클래식 | 12,430 | ▲40 |
| 리플 | 1,999 | ▲2 |
| 퀀텀 | 1,479 | ▼33 |
| 이오타 | 94 | ▼1 |











