[로이슈 임한희 기자] 컴퓨터단층촬영(CT) 같은 정밀한 의료영상을 통해서도 모두 알아내기 어려운 폐 속 미세한 기관지를 인공지능 기술로 빠르고 정확하게 알아낼 수 있게 됐다.
앞으로 천식이나 만성폐쇄성폐질환(COPD) 등 중증 폐질환을 더욱 조기에 발견할 수 있을 것으로 기대된다.
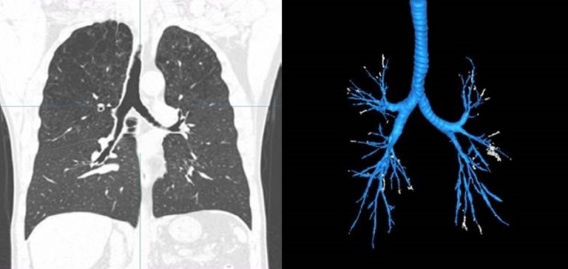
5일 서울아산병원 융합의학과 김남국 ․ 영상의학과 서준범 교수팀에 따르면 자체적으로 개발한 인공지능 기술로 흉부 CT 영상을 분석한 결과, 체내 기관지를 평균 2분 만에 약 90%의 정확도로 분석해냈다고 최근 밝혔다.
천식, COPD, 간질성 폐질환 등 중증 폐질환을 정확하게 진단하기 위해서는 미세한 기관지까지 분석해야 한다. 그 중에서도 특히 기관지의 벽 두께를 파악하는 것이 중요한데, 공기 중 균이나 알레르기를 일으키는 물질들과 싸우게 되면 벽 두께가 두꺼워지기 때문이다.
하지만 기관지는 나뭇가지처럼 두께가 약 1mm 미만인 기관지로까지 계속 갈라져 의료영상에서 보이지 않는 경우가 많으며, 호흡이나 심장의 움직임에 따라 영향을 쉽게 받아 정확하게 그 두께를 파악하는 게 쉽지 않다. 실제 사람이 일일이 파악하더라도 시간이 매우 오래 걸린다는 한계가 있었다.
김남국 ‧ 서준범 교수팀이 아주 미세한 기관지의 구조뿐만 아니라 두께까지 빠르고 정확하게 분석해내는 인공지능 기술을 직접 개발해, 그 동안 흉부 CT 검사로는 조기에 발견하기 쉽지 않았던 중증 폐질환을 빠르게 진단할 수 있게 된 것이다.
연구팀은 2.5D 합성곱신경망(CNN, Convolutional Neural Network)을 적용한 인공지능 기술을 자체적으로 개발해 59명의 폐 질환 환자의 흉부 CT 검사 영상 자료를 학습시켰다.
2.5D 합성곱신경망은 특정 물체의 가로, 세로, 높이 사진 여러 장을 종합해 3D 이미지를 만들어 학습하는 딥러닝(deep-learning) 기반 기술이다. 3D 이미지를 학습하기 때문에 다각도에서 정확하게 분석할 수 있다.
검사 영상 학습 후 연구팀은 폐 질환 환자 10명의 흉부 CT 검사 영상을 활용해 인공지능 기술의 유효성을 검증했으며, 최종적으로 폐 질환자 8명의 흉부 CT 검사 영상으로 인공지능 기술의 정확도와 분석 속도를 시험했다.
그 결과 사람이 직접 하는 것 대비 90% 정도의 정확도로 기관지 벽 두께를 파악해냈으며, 시간도 약 2분밖에 걸리지 않았다.
김남국 서울아산병원 융합의학과 교수는 “여러 상황적 제약으로 의료진이 의료영상에서 100% 정확하게 모든 기관지를 찾을 수가 없기 때문에, 사람 대비 90%의 정확도로 기관지를 2분 만에 찾아낸다는 것은 매우 정확하다고 볼 수 있다”며, “인공지능 기술로 흉부 CT 검사 영상을 분석해 미세한 기관지까지 찾아낸 후 영상의학 전문가가 추가적으로 분석하면 중증 폐 질환을 더욱 빠르게 진단하고 치료할 수 있을 것으로 기대된다”고 밝혔다.
한편 이번 연구 결과는 의료영상 분석 분야에서 전 세계적으로 가장 권위있는 저널인 ‘의료 영상 분석(Medical Image Analysis, IF=5.356)’에 최근 게재됐다.
임한희 기자 newyork291@lawissue.co.kr
서울아산병원, "영상진단 어려운 미세 기관지, 인공지능으로 잡아낸다"
기사입력:2018-12-06 00:34:26
<저작권자 © 로이슈, 무단 전재 및 재배포 금지>
로이슈가 제공하는 콘텐츠에 대해 독자는 친근하게 접근할 권리와 정정ㆍ반론ㆍ추후 보도를 청구 할 권리가 있습니다.
메일:law@lawissue.co.kr / 전화번호:02-6925-0217
메일:law@lawissue.co.kr / 전화번호:02-6925-0217
주요뉴스
핫포커스
투데이 이슈
투데이 판결 〉
베스트클릭 〉
주식시황 〉
| 항목 | 현재가 | 전일대비 |
|---|---|---|
| 코스피 | 4,084.20 | ▲130.44 |
| 코스닥 | 887.81 | ▲11.00 |
| 코스피200 | 577.31 | ▲19.33 |
가상화폐 시세 〉
| 암호화폐 | 현재가 | 기준대비 |
|---|---|---|
| 비트코인 | 157,569,000 | ▲299,000 |
| 비트코인캐시 | 748,500 | 0 |
| 이더리움 | 5,354,000 | ▼4,000 |
| 이더리움클래식 | 24,250 | ▲190 |
| 리플 | 3,640 | ▼19 |
| 퀀텀 | 2,896 | ▼6 |
| 암호화폐 | 현재가 | 기준대비 |
|---|---|---|
| 비트코인 | 157,600,000 | ▲190,000 |
| 이더리움 | 5,352,000 | ▼8,000 |
| 이더리움클래식 | 24,260 | ▲210 |
| 메탈 | 696 | ▼2 |
| 리스크 | 310 | ▲2 |
| 리플 | 3,642 | ▼19 |
| 에이다 | 871 | ▼3 |
| 스팀 | 127 | ▼1 |
| 암호화폐 | 현재가 | 기준대비 |
|---|---|---|
| 비트코인 | 157,500,000 | ▲190,000 |
| 비트코인캐시 | 747,500 | ▼2,500 |
| 이더리움 | 5,355,000 | ▼5,000 |
| 이더리움클래식 | 24,230 | ▲200 |
| 리플 | 3,642 | ▼19 |
| 퀀텀 | 2,882 | ▼20 |
| 이오타 | 215 | ▲2 |









