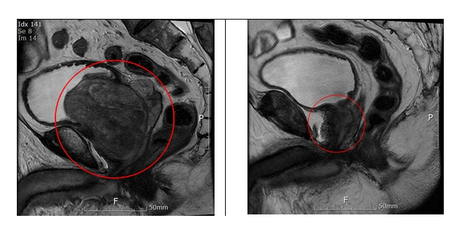
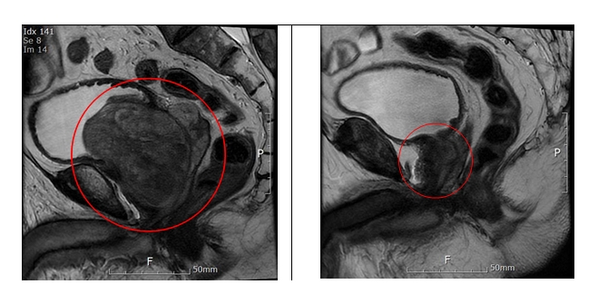
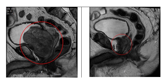
[로이슈 임한희 기자] 차의과학대학교 분당차병원(원장 김재화) 비뇨의학과 박동수 교수팀은 비대증으로 인해 정상수준의 10배 이상 커진 전립선(160g)에서 발견된 암을 로봇수술로 제거하는데 성공했다고 17일 밝혔다.
박교수팀은 배뇨장애로 병원을 찾은 81세 환자의 복부에 다빈치로봇으로 6개의 작은 구멍을 뚫어 악성종양 5개를 제거했다. 박교수팀은 종양이 포함된 전립선 전체와 종양을 둘러싼 림프절 등을 완전히 제거하는 근치적 전립선 적출술로 집도했다.
수술 받은 환자의 전립선은 전립선비대증으로 인해 일반 남성의 전립선 크기(15-20g)보다 8~10배 큰 상태였다. 초대형 전립선 환자의 경우 혈관이 매우 발달해 수술 시 극심한 출혈이 생길 수 있고, 해부학적 파악이 힘들어져 수술에 큰 어려움이 따른다.
이 때문에 초대형 전립선에 암이 발생한 경우 수술 대신 외부 방사선치료를 권하기도 한다. 하지만 이 환자는 과거 요도수술로 요도협착 증상이 있어 방사선치료를 할 경우 방사선의 영향으로 요도가 막혀 소변을 볼 수 없는 상태가 우려됐다.
수술을 집도한 박동수 교수는 “많은 전립선암 환자들이 수술 후 합병증을 걱정해 수술을 꺼리는 경향을 보인다”며 “수술을 할 때 암 제거뿐만 아니라 수술 후 요실금과 발기부전, 배변장애 등 합병증을 최소화하는 정밀수술이 이루어지기 때문에 수술이 필요한 경우에는 꺼리지 말고 수술을 받는 것이 향후 삶의 질 측면에서도 중요하다”고 말했다.
수술을 받은 구모씨는 “요도협착증도 있고, 나이도 많아 어려운 수술이 되지 않을까 걱정 했는데 생각 외로 수술이 빨리 끝났다”며 “수술 당일 바로 회복할 수 있어서 한시름 덜었다”라고 말했다.환자는 고령에도 불구하고 수술 당일 저녁부터 빠른 회복세를 보였고, 수술 부작용 없이 퇴원했다.
임한희 기자 newyork291@lawissue.co.kr
분당차병원 비뇨의학과 박동수 교수팀, 거대 전립선 환자의 전립선암 로봇수술로 제거
기사입력:2018-09-17 23:58:08
<저작권자 © 로이슈, 무단 전재 및 재배포 금지>
로이슈가 제공하는 콘텐츠에 대해 독자는 친근하게 접근할 권리와 정정ㆍ반론ㆍ추후 보도를 청구 할 권리가 있습니다.
메일:law@lawissue.co.kr / 전화번호:02-6925-0217
메일:law@lawissue.co.kr / 전화번호:02-6925-0217
주요뉴스
핫포커스
투데이 이슈
투데이 판결 〉
베스트클릭 〉
주식시황 〉
| 항목 | 현재가 | 전일대비 |
|---|---|---|
| 코스피 | 4,073.24 | ▲119.48 |
| 코스닥 | 888.35 | ▲11.54 |
| 코스피200 | 575.31 | ▲17.33 |
가상화폐 시세 〉
| 암호화폐 | 현재가 | 기준대비 |
|---|---|---|
| 비트코인 | 157,162,000 | ▼546,000 |
| 비트코인캐시 | 767,000 | ▲6,000 |
| 이더리움 | 5,344,000 | ▼6,000 |
| 이더리움클래식 | 23,960 | ▼120 |
| 리플 | 3,749 | ▲46 |
| 퀀텀 | 2,893 | ▼10 |
| 암호화폐 | 현재가 | 기준대비 |
|---|---|---|
| 비트코인 | 157,289,000 | ▼437,000 |
| 이더리움 | 5,348,000 | ▼6,000 |
| 이더리움클래식 | 24,000 | ▼90 |
| 메탈 | 698 | 0 |
| 리스크 | 306 | ▲2 |
| 리플 | 3,756 | ▲54 |
| 에이다 | 885 | ▲3 |
| 스팀 | 126 | 0 |
| 암호화폐 | 현재가 | 기준대비 |
|---|---|---|
| 비트코인 | 157,150,000 | ▼560,000 |
| 비트코인캐시 | 768,000 | ▲6,500 |
| 이더리움 | 5,345,000 | ▼5,000 |
| 이더리움클래식 | 24,010 | ▼40 |
| 리플 | 3,749 | ▲44 |
| 퀀텀 | 2,942 | ▲60 |
| 이오타 | 222 | ▲8 |









