[로이슈 편도욱 기자] 퓨젠바이오(대표 김윤수)는 14일 크론병 치료용 신약 후보 물질을 개발했다고 밝혔다.
퓨젠바이오는 경기도 경제과학진흥원 바이오센터 및 성균관대 의과대학과의 공동연구를 통해 염증성 장질환 및 크론병 치료용 후보 물질인 ‘FBCA201’을 공동 개발했다.
염증성 장질환은 크게 궤양성 대장염과 소화관 전체에 발생하는 크론병으로 구분되는데, 퓨젠바이오는 특히 최근 급증하고 있는 자가 면역성 질환인 크론병 치료에 무게를 두고 세포와 동물 실험을 통한 약리작용의 매커니즘을 규명했다.
크론병은 과거에는 우리나라에서 매우 드문 질환이었으나 최근 10여 년 사이에 급증하고 있는 만성 염증성 장 질환으로 다양하고 지속적인 치료에도 불구하고, 증상이 악화와 재발을 반복하여 완치가 되지 않으며 젊은 층에서 발병이 급증하고 있어 국민건강을 크게 위협하고 있다.
염증성 대장염, 특히 크론병은 소화관 전체 장관층(gastrointestinal layer)에 만성염증이 발생하고, 평생 호전과 재발을 반복하며 삶의 질을 크게 떨어뜨린다. 이 질환은 환자들에게 치료적으로나 경제적으로나 큰 고통을 주는 자가면역계 질병이다. 최근 아베 신조 일본 총리가 염증성 대장염으로 건강이 악화되어 정상적인 업무를 수행하기 어려워 총리를 사임할 정도로 심각한 질병으로 알려져 있다.
퓨젠바이오는 미생물의 2차대사산물 연구과정에서 발견한 대사물질과 새로운 유도체 합성법을 개발, 대량 합성 공정 개발과 함께 10여 종의 신규 유도체를 합성해 전구약물(체내 대사과정을 거치면 효과가 나타나는 약물)의 구조를 분석했다.
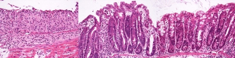
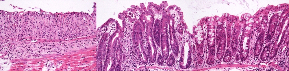
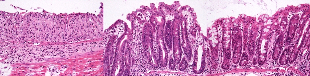
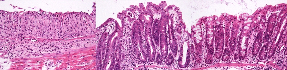
그 결과, 개발한 신약후보물질 FBCA201이 대식세포에서 LPS처리에 의한 NO생성의 억제와 염증성 사이토카인 발현을 억제함으로써 지나친 염증반응을 조절할 수 있음을 확인했고 동물의 장조직에서 대장상피세포에서의 TNFα 처리에 의한 접착단백질의 발현을 억제함으로써 염증세포와의 결합을 조절하는 항염 효능을 입증했다.
특히 염증성 장질환 동물 모델 실험에서 장길이 감소, 장점막 손상, 배변이상 등의 실제 증상의 치료효과를 현재 크론병의 1차 치료제로 사용되는 설파살라진 및 5-ASA 과 대조하여 실험한 결과 기존 치료제 투여량의 20% 용량을 투여하였음에도 더 우수한 효과를 보이는 것으로 확인됐다.
크론병 치료 가이드라인에 따르면, 증상의 정도에 따라 항염증제, 스테로이드제, 면역억제제, 그리고 생물학적 제제를 순차적으로 처방하고 있다. 그러나 현재 개발된 크론병 치료제는 생물학적 제제를 제외하면 화학합성물질 또는 스테로이드 계열로 부작용이 심각하며 증상을 완화시킬 뿐 완치를 위한 치료제가 없는 상황이다.
이번 퓨젠바이오가 확보한 신약후보물질 FBCA201은 미생물이 만들어내는 이차대사산물에서 유래된 물질로 이는 생물이 스스로를 보호하기 위해 만들어내는 일종의 보호물질의 일종이다. 이차대사산물에서 유래된 물질은 상당수의 약품에서 활용되고 있는데, 인체에 항산화 작용, 세포 손상 억제, 면역기능 향상 등에 작용하는 것으로 알려져 있다. 미국 제약회사 머크에서 누룩곰팡이의 한 종인 아스페르길루스 테레우스(Aspergillus terreus)의 이차대사물질에서 발견한 고지혈증 치료제 로바스타틴(lovastatin)이 미생물의 이차대사물질에서 개발된 대표적인 의약품이다.
퓨젠바이오 김윤수 대표는 “생물이 만들어내는 이차대사산물에서 유래된 항염증, 면역조절 기전의 크론병 1차 치료제를 개발함으로써 치료 기간과 부작용을 줄여 고비용의 생물학적 주사제로도 치료가 어려운 만성 질환인 크론병의 유용한 치료제가 될 것으로 기대하고 있다”고 말했다.
편도욱 로이슈 기자 toy1000@hanmail.net
퓨젠바이오, 크론병 혁신 신약 후보물질 개발
기사입력:2020-09-14 08:47:33
<저작권자 © 로이슈, 무단 전재 및 재배포 금지>
로이슈가 제공하는 콘텐츠에 대해 독자는 친근하게 접근할 권리와 정정ㆍ반론ㆍ추후 보도를 청구 할 권리가 있습니다.
메일:law@lawissue.co.kr / 전화번호:02-6925-0217
메일:law@lawissue.co.kr / 전화번호:02-6925-0217
주요뉴스
핫포커스
투데이 이슈
투데이 판결 〉
베스트클릭 〉
주식시황 〉
| 항목 | 현재가 | 전일대비 |
|---|---|---|
| 코스피 | 4,129.68 | ▲21.06 |
| 코스닥 | 919.67 | ▲4.47 |
| 코스피200 | 590.08 | ▲5.87 |
가상화폐 시세 〉
| 암호화폐 | 현재가 | 기준대비 |
|---|---|---|
| 비트코인 | 128,308,000 | ▲246,000 |
| 비트코인캐시 | 910,000 | ▲1,000 |
| 이더리움 | 4,305,000 | ▲13,000 |
| 이더리움클래식 | 17,840 | ▲190 |
| 리플 | 2,734 | ▲12 |
| 퀀텀 | 1,893 | ▼29 |
| 암호화폐 | 현재가 | 기준대비 |
|---|---|---|
| 비트코인 | 128,297,000 | ▲257,000 |
| 이더리움 | 4,307,000 | ▲16,000 |
| 이더리움클래식 | 17,800 | ▲130 |
| 메탈 | 525 | ▲2 |
| 리스크 | 299 | ▲1 |
| 리플 | 2,733 | ▲10 |
| 에이다 | 539 | ▲5 |
| 스팀 | 101 | 0 |
| 암호화폐 | 현재가 | 기준대비 |
|---|---|---|
| 비트코인 | 128,300,000 | ▲200,000 |
| 비트코인캐시 | 911,500 | ▲3,000 |
| 이더리움 | 4,305,000 | ▲12,000 |
| 이더리움클래식 | 17,850 | ▲150 |
| 리플 | 2,735 | ▲11 |
| 퀀텀 | 1,897 | ▼7 |
| 이오타 | 124 | 0 |









