[로이슈 임한희 기자] 아이를 키우는 부모라면, 잠시 한눈을 판 사이 아이가 물건을 삼켜 놀란 경험이 한 번쯤은 있을 것이다.
31일 의료계에 따르면 소아의 이물 섭취는 생후 6개월에서 3세에 가장 많이 발생하며, 80~90% 정도는 자연 배출되지만 10~20%는 내시경으로 제거가 필요하고 1% 미만에서는 수술적인 제거가 필요하다. 이물을 삼킨 아이 중 50%는 증상이 없고, 증상이 있더라도 보챔, 침 흘림, 삼킴 곤란, 수유나 음식 거부, 구토 같은 비특이적인 증상이어서 부모들이 알아채기 쉽지 않다.
대부분 이물이 위장관으로 들어가게 되면 사고 없이 통과하지만, 35% 정도는 합병증이 생길 위험이 있다. 특히 경부 식도, 위 유문부, 회맹장 밸브, 항문 등에서 이물이 잘 걸린다.
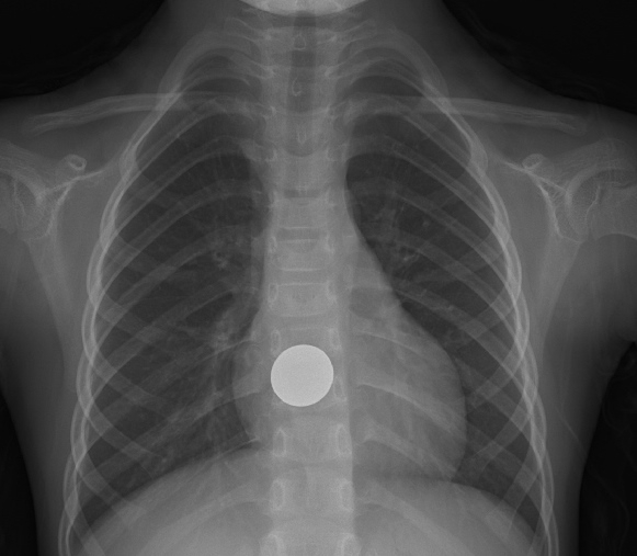
이물의 크기와 종류, 위장관 내 위치와 머문 시간에 따라 이물 제거 시기와 방법이 다르다. 먼저 X-ray 검사로 대략적인 이물의 위치나 크기, 모양을 확인할 수 있지만, 생선 뼈, 닭 뼈, 고기 등 음식물을 비롯해 유리, 알루미늄, 플라스틱, 나무로 만든 이물 등은 X-ray 검사에 잘 나타나지 않으므로 추가적인 내시경 검사가 진단 겸 치료에 도움이 된다.
날카로운 물체가 위나 근위 십이지장에 있다면 내시경으로 제거하는 것이 좋으며, 십이지장 만곡부를 통과한 이물은 좀 더 지켜봐야 한다. 배터리나 날카로운 물질이 식도에 있을 때는 즉시 내시경으로 제거해야 하는 데, 배터리는 식도에 걸려 있는 채로 4시간 이상 지나면 궤양, 천공, 누공 등의 합병증을 초래할 위험이 있다.
동전 등 둔탁한 물질은 식도에 있더라도 24시간 이내에 제거하는 것을 권한다. 위에 위치한 이물이 날카롭거나 뾰족한 경우와 배터리가 48시간 이상 머물렀거나, 2개 이상의 자석은 금식 후 내시경으로 제거해야 한다.
두 개 이상의 자석이 소장으로 넘어간 경우, 장을 사이에 두고 두 자석이 접촉하면서 장 점막의 압박 괴사, 장 천공, 폐쇄 등을 유발할 위험이 있어 수술적 치료가 필요하다. 또, 1주 이상 위치 변화를 보이지 않거나, 발열, 구토, 복통이 동반되는 소장의 이물과 날카롭거나 뾰족한 이물이 투시검사 상 3일 이상 같은 자리에 머물러 있는 경우도 수술적 제거를 고려해야 한다.
순천향대 부천병원 소아청소년과 이유민 교수는 “소아가 이물질을 삼키지 않도록 부모들의 주의관찰이 필요하고, 이물을 삼킨 경우에는 위장관 통과 여부에 따라 내시경 또는 수술적 제거가 필요하므로 소아 소화기파트 진료를 받아 적절한 처치를 해야 한다”고 조언했다.
임한희 기자 newyork291@lawissue.co.kr
[메디컬 live] 부모가 한눈판 사이... 아이가 이물질을 삼켰다면?
기사입력:2017-08-31 23:13:14
<저작권자 © 로이슈, 무단 전재 및 재배포 금지>
로이슈가 제공하는 콘텐츠에 대해 독자는 친근하게 접근할 권리와 정정ㆍ반론ㆍ추후 보도를 청구 할 권리가 있습니다.
메일:law@lawissue.co.kr / 전화번호:02-6925-0217
메일:law@lawissue.co.kr / 전화번호:02-6925-0217
주요뉴스
핫포커스
투데이 이슈
투데이 판결 〉
베스트클릭 〉
주식시황 〉
| 항목 | 현재가 | 전일대비 |
|---|---|---|
| 코스피 | 5,791.91 | ▼452.22 |
| 코스닥 | 1,137.70 | ▼55.08 |
| 코스피200 | 859.40 | ▼73.94 |
가상화폐 시세 〉
| 암호화폐 | 현재가 | 기준대비 |
|---|---|---|
| 비트코인 | 98,606,000 | ▼674,000 |
| 비트코인캐시 | 640,500 | ▼3,000 |
| 이더리움 | 2,874,000 | ▼28,000 |
| 이더리움클래식 | 12,360 | ▼30 |
| 리플 | 1,985 | ▼14 |
| 퀀텀 | 1,317 | ▼9 |
| 암호화폐 | 현재가 | 기준대비 |
|---|---|---|
| 비트코인 | 98,635,000 | ▼732,000 |
| 이더리움 | 2,879,000 | ▼26,000 |
| 이더리움클래식 | 12,360 | ▼30 |
| 메탈 | 426 | ▲7 |
| 리스크 | 193 | ▼2 |
| 리플 | 1,986 | ▼14 |
| 에이다 | 389 | ▼2 |
| 스팀 | 85 | ▼1 |
| 암호화폐 | 현재가 | 기준대비 |
|---|---|---|
| 비트코인 | 98,550,000 | ▼820,000 |
| 비트코인캐시 | 640,000 | ▼4,000 |
| 이더리움 | 2,874,000 | ▼28,000 |
| 이더리움클래식 | 12,360 | ▼30 |
| 리플 | 1,986 | ▼13 |
| 퀀텀 | 1,321 | 0 |
| 이오타 | 96 | 0 |









