[로이슈 임한희 기자] 활동량이 많은 아이 중 뒤꿈치 통증을 호소하는 경우가 더러 있다. 이런 경우 병원을 찾아 원인을 찾아봐야 한다. 초등학생 때 발생하는 뒤꿈치 통증의 경우 세버씨병일 가능성이 높기 때문이다.
30일 의료계에 따르면 세버씨병이란 아킬레스힘줄이 뒤꿈치 뼈 골단을 잡아당겨 발생하는 질환 중 하나로 ‘뒷꿈치뼈 골연골증’이라고도 부른다.
그 원인은 보행 시 발생하는 반복적인 압력으로 인한 피로 골절이나 아킬레스건이 부착하는 부위에 아직 골화되지 않은 종골(뒤꿈치)의 성장판 때문이라 추정하지만 정확한 발생 원인은 밝혀지지 않았다. 주로 축구, 농구, 체조, 육상 선수들에서 많이 발생한다.
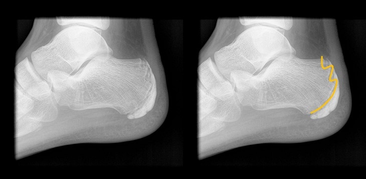
세버씨병의 경우 방사선 촬영을 통해 확인할 수 있다. 활동량이 많은 아이가 뒤꿈치 통증을 호소한다면 방사선 촬영으로 확인해 볼 수 있다. 방사선 촬영을 해보면 울퉁불퉁한 성장판이 관찰되기도 한다. 부드러운 형태보다 아킬레스 힘줄에 의해 당김이 발생할 때 불편함을 더 느낄 수 있다.
하지만 대부분 성장을 하면서 골단판이 유합되어 증상이 서서히 사라지는 경과를 보인다. 운동을 좋아하는 아이들이 심하게 경쟁을 하는 과정에서 생길 수 있는 질환이기 때문에 충분한 휴식을 취하도록 하며, 심한 경우 소염제를 먹기도 한다. 또한, 아이의 발에 맞는 깔창을 맞추어 통증을 경감시켜주는 것도 좋다.
인제대학교 서울백병원 정형외과 이영 교수는 “세버씨병의 경우 일부 증상이 더욱 악화하여 피로 골절이 동반하거나 아킬레스 힘줄의 단축으로 증상이 심하게 나타나는 경우가 있다”며 “이럴 경우 족부 전문가의 진료를 받아보고 치료를 하는 것이 좋다”고 말했다.
아이들의 건강한 발 건강을 위해서는 올바른 신발 선택으로 미리 예방하는 것이 가장 중요하다.
너무 어린아이들은 의사표현이 잘 안될 수 있기 때문에 부모들이 유념해서 골라야 한다. 아이들의 신발을 신길 때는 아이들의 발 모양에 맞는 편안한 신발을 신겨야 하며, 3세 이하의 아이들은 아치가 형성되지 않았기 때문에 신발은 바닥이 편평하고 뒷굽이 단단해야 한다.
또한, 걸을 때 신발 앞쪽이 걸려서 넘어지기 쉽기 때문에 발끝이 둥근 신발로 선택한다. 하루가 다르게 성장하는 아이들의 경우 발의 크기 또한 변화가 빠르게 일어나기 때문에 6개월에 한 번 정도 신발을 바꿔주는 것이 좋다.
유치원 다닐 때쯤 아이들은 의사 표현이 되기 때문에 아이와 이야기를 하며 고르는 것이 좋다. 중요한 것은 아이가 신발을 신고 편하다는 느낌이 들어야 한다. 아기의 발이 클 것을 염두에 두고 너무 큰 신발을 사는 것은 좋지 않은 방법이다. 그리고 신발 속에서 발가락이 충분히 움직일 수 있는 여유가 있어야 하므로 발끝과 신발 끝 사이에 아이의 엄지손가락이 눌려 들어가는 정도가 적당하다.
또한, 항상 신발 안에서 아이들의 뒤꿈치가 너무 놀지 않도록 잘 관찰해야 한다. 신발 깔창은 충분한 쿠션이 있어서 어린이의 발바닥을 보호할 수 있어야 한다. 어린이들은 많이 뛰어다니므로 발에 땀이 많아 신발 재질은 통기성이 좋은 소재로 선택한다.
신발의 밑창 역시 충격을 흡수할 수 있는 쿠션이나 좋은 재질이 좋으며, 유연성이 있어야 한다. 굽은 없거나 있더라도 2.5cm 이내의 신발을 선택한다. 그 이상의 굽이 있는 경우 발이 앞으로 쏠려 발가락이 신발에 눌려 불편하거나 발가락의 모양에 변형이 올 수 있다.
최근 바퀴 달린 운동화가 유행인데, 놀이시간에만 바닥이 고른 곳에서 착용하도록 주의를 줄 필요가 있다. (도움말: 서울백병원 정형외과 이영 교수)
임한희 기자 newyork291@lawissue.co.kr
[health 톡톡] 운동 좋아하는 우리 아이, 뒤꿈치가 아프다면?... ‘세버씨병’ 의심
기사입력:2018-05-30 22:53:50
<저작권자 © 로이슈, 무단 전재 및 재배포 금지>
로이슈가 제공하는 콘텐츠에 대해 독자는 친근하게 접근할 권리와 정정ㆍ반론ㆍ추후 보도를 청구 할 권리가 있습니다.
메일:law@lawissue.co.kr / 전화번호:02-6925-0217
메일:law@lawissue.co.kr / 전화번호:02-6925-0217
주요뉴스
핫포커스
투데이 이슈
투데이 판결 〉
베스트클릭 〉
주식시황 〉
| 항목 | 현재가 | 전일대비 |
|---|---|---|
| 코스피 | 4,073.24 | ▲119.48 |
| 코스닥 | 888.35 | ▲11.54 |
| 코스피200 | 575.31 | ▲17.33 |
가상화폐 시세 〉
| 암호화폐 | 현재가 | 기준대비 |
|---|---|---|
| 비트코인 | 157,155,000 | ▼461,000 |
| 비트코인캐시 | 767,000 | ▲2,000 |
| 이더리움 | 5,346,000 | ▼9,000 |
| 이더리움클래식 | 24,010 | ▼130 |
| 리플 | 3,768 | ▲36 |
| 퀀텀 | 2,890 | ▼20 |
| 암호화폐 | 현재가 | 기준대비 |
|---|---|---|
| 비트코인 | 157,230,000 | ▼442,000 |
| 이더리움 | 5,349,000 | ▼10,000 |
| 이더리움클래식 | 24,020 | ▼100 |
| 메탈 | 699 | ▼1 |
| 리스크 | 305 | ▼2 |
| 리플 | 3,772 | ▲38 |
| 에이다 | 886 | 0 |
| 스팀 | 126 | 0 |
| 암호화폐 | 현재가 | 기준대비 |
|---|---|---|
| 비트코인 | 157,100,000 | ▼550,000 |
| 비트코인캐시 | 768,000 | ▲2,000 |
| 이더리움 | 5,345,000 | ▼10,000 |
| 이더리움클래식 | 24,040 | ▼60 |
| 리플 | 3,772 | ▲36 |
| 퀀텀 | 2,942 | ▲60 |
| 이오타 | 222 | ▲4 |











