[로이슈 전여송 기자] 한림대학교성심병원은 지난 6월 21일 코로나19 중증환자의 폐이식을 국내최초로 성공시켰다. 세계에서는 9번째다.
50대 여성인 환자는 지난 2월 29일 한림대학교성심병원으로 코로나19 중증환자로 긴급 후송돼 응급중환자실 음압격리실로 입원했다. 전원 당시 의식은 있었으나 산소마스크를 착용했음에도 산소농도가 88% 이하로 떨어지는 불안정한 상태였다. 입원 3시간 만에 기도삽관 후 인공호흡기를 달았지만 인공호흡기 착용 후에도 혈압과 산소농도가 호전되지 않고 숨을 쉬기 어려워했다.
초기 치료로 항말라리아약인 클로로퀸(chloroquine)과 에이즈 환자에서 사용하는 칼레트라(Kaletra)를 사용했고, 항염증작용을 위해 스테로이드도 사용했지만 효과를 보지 못했다. 비교적 젊고 건강한 환자였지만 에크모를 시행해 환자의 폐 기능을 대신해야 했다.
한림대학교성심병원 에크모팀은 3월 1일 환자에게 에크모를 장착하고 선제적 치료를 시작했다. 에크모(체외막산소화장치·ECMO:Extra-Corporeal Membrane Oxygenation)는 환자의 혈액을 체외로 빼내 산소를 공급한 뒤 다시 체내로 흘려보내는 장치로, 심장이나 폐 기능이 정상이 아닐 때 중환자의 심폐 기능을 보조해 생명을 유지해주는 장치다.
환자는 음압격리실에서 에크모를 달고 레벨D 방호복을 입은 의료진에게 치료를 받았다. 환자는 3월 초 한 번의 코로나19 양성반응 이후 줄곧 음성이 나왔다. 격리 2개월 만에 기관지내시경으로 채취한 검체로 코로나19 최종 음성을 확인했다.
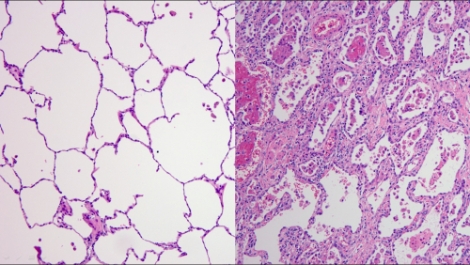
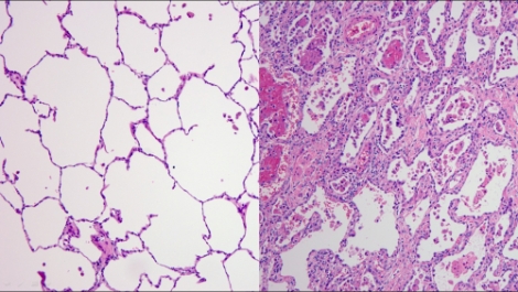
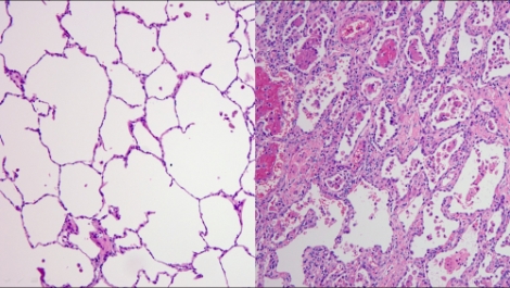
하지만 환자는 바이러스만 사라졌을 뿐 폐 상태는 나빠졌다. 흉부X-ray 검사 결과에서는 심한 특이사항이 발견되지 않았지만, 흉부CT 검사 결과 양측 폐에 광범위한 침윤소견과 폐섬유화 속도가 상당히 빨랐다. 폐 기능이 너무 심하게 손상돼 에크모를 떼는 순간 환자는 사망 위험이 높았다. 선택은 폐이식 밖에 없었고 의료진은 폐이식을 결정했다.
코로나19로 건강했던 환자는 순식간에 생사를 오가는 상태가 된 것이다. 환자는 가족과 떨어져 읍압격리실에서 자신의 손과 발이 되어준 에크모센터 의료진의 손을 잡고 눈물을 한참 동안 흘렸다. 에크모센터 의료진은 5월 4일 수술을 결정하고 에크모 치료를 유지한 채 외과중환자실 양압이식방으로 환자를 옮겨 폐 공여자를 기다렸다.
환자는 입원 다음 날인 3월 1일부터 이식하기 전날인 6월 20일까지 무려 112일 동안 에크모 치료를 시행했다. 112일 코로나19환자 중 에크모 장착은 세계 최장기간 기록이다. 에크모 치료는 의료진이 실시간으로 환자를 추적, 관찰해 건강상태를 잘 유지시켜야 하기때문에 장시간 에크모 장착은 쉬운 일이 아니다.
국내 최초 코로나19 환자 폐이식은 6월 20일 오후 3시부터 21일 새벽 2시까지 했으며, 실제 수술시간은 8시간 동안 이루어졌다. 수술은 성공적으로 마쳤다. 성공의 가장 큰 이유는 선제적으로 시행한 에크모 치료뿐 아니라 의료진이 장기간 에크모 장착으로 인한 감염, 출혈, 혈전증 등 여러 합병증을 잘 막고 환자의 식이요법과 체력저하 등을 관리하기 위해 24시간 집중치료를 시행해 왔기 때문이다.
에크모센터장 흉부외과 김형수 교수는 “코로나19 환자 중 국내에서 최고의 중증치료 사례였으며 코로나바이러스에 감염된 폐를 떼어낼 때 건강한 폐와 다르게 크기도 작게 수축 되었고 마치 돌덩이처럼 폐가 딱딱한 느낌이었다”며 “건강하고 젊은 코로나19 감염증 환자도 폐섬유화 진행 속도가 빨라 폐이식까지 갈 수 있으니 젊다고 방심하지 말고 감염을 막기 위한 사회적 거리두기, 마스크 착용 등의 노력을 지속해야 한다”고 강조했다.
에크모 치료를 오랫동안 받은 환자는 다양한 합병증 위험이 크다. 또 침상에 누워있는 시간이 길어져서 근육위축이 올 수 있기에 주기적으로 근육운동 해야 하고 폐이식을 받더라도 자발호흡이 안되면 결국 인공호흡기나 에크모 치료에 장기간 의존할 수밖에 없다.
한림대학교성심병원 에크모센터는 폐이식을 결정한 순간부터 환자에게 폐활량 및 호흡 근력을 키울 수 있도록 호흡근 운동(inspirometer), 팔다리 근육 손실을 막기 위해 앉거나 걷는 보행 연습을 지속적으로 시행했다. 또 환자의 건강한 전신 상태를 유지할 수 있도록 영양성분이 고르게 합류된 균형 있는 식이섭취를 적극적으로 했다. 이러한 부분이 환자가 성공적으로 폐이식 수술을 받고 건강히 회복할 수 있게 되는 중요한 원인이 됐다.
폐이식은 난이도가 높아 성공률이 70% 정도지만 에크모 환자의 경우 위중한 상태로 50% 정도다. 심장, 간 등 다른 장기이식술 성공률이 90%인 것에 비하면 낮은 편이다. 생존율은 5년 50~60%고, 10년 30%로 생존율 또한 낮다. 폐는 숨을 쉴 때마다 공기에 노출되는 외부와 연결된 유일한 장기로 그만큼 감염에 취약하기 때문이다. 이식 환자는 이식 1년 안에 30~50% 환자는 급성거부반응이 발생하기도 한다.
에크모센터 호흡기내과 박성훈 교수는 “코로나19 환자의 특징은 영상검사에서는 잘 나타나지 않았지만 실제로 폐섬유화 진행속도가 빨라 자칫 놓칠 수도 있어 환자 관찰이 중요하다”며 “현재까지 환자가 급성거부반응을 나타나지는 않았다. 이를 유지하기 위해 다학제 진료를 통해 환자의 건강상태를 면밀하게 파악하고 급성거부반응의 위험성을 낮추기 위해 면역억제제 농도를 조절하고 재활운동에 집중하고 있다”고 설명했다.
박 교수는 “이번 폐이식 성공은 의료진의 지속적인 환자관찰을 통해 조기 치료를 시행하고 장기부전 진행을 막기 위해 다양한 분야의 전문가들이 모여 팀워크를 이루는 등 유기적인 융합치료시스템을 구축한 결과”라고 말했다.
에크모센터 외과중환자실 이순희 수간호사는 “레벨D 방호복을 착용한 의료진은 격리된 코로나19 환자에게 에크모를 장착하고 폐이식을 하는 순간까지 긴장의 끈을 놓지 않고 변화과정을 사진과 영상으로 기록하고 24시간 환자를 모니터링했다. 가족과 떨어져 홀로 지내는 환자에게 힘이 되려고 노력했다”며 “생사의 기로에 섰던 환자가 에크모를 통해 생명을 이어가고 소생하는 것을 보면 말로는 다 설명하지 못할 커다란 감동이다. 이제는 환자의 눈빛만 봐도 환자가 무엇을 원하는지 알 수 있고 앞으로 재활치료와 전신건강 회복 등 환자가 빨리 회복될 수 있도록 최선을 다해 돕겠다”고 말했다.
환자는 현재 산소를 들이마시면서 자발호흡을 하고 있으며 앉아서 스스로 식사를 하고, 호흡근운동과 사이클을 통한 침상 재활운동을 시행해 하지 근력을 키워 걸을 준비를 하고 있다. 재활운동을 열심히 해 보행이 가능해지면 일상생활로의 복귀를 앞당길 수 있다.
한림대학교성심병원 유경호 병원장은 “환자는 치료기간동안 코로나19를 극복하고자 하는 의지가 굉장히 강했으며 의료진과 가족들의 지지를 통해 재활을 성공적으로 하고 있다”며 “한림대학교성심병원은 이번 코로나19환자 폐이식수술 성공을 기점으로 코로나19를 정복하기 위해 더욱더 노력해 나갈 것이다. 이번 폐이식 성공은 우리나라 중증환자 치료가 세계적 수준임을 증명했다”고 말했다.
전여송 로이슈(lawissue) 기자 arrive71@lawissue.co.kr
한림대성심병원, 코로나19환자 국내 최초 폐이식 수술 성공
기사입력:2020-07-02 23:12:41
<저작권자 © 로이슈, 무단 전재 및 재배포 금지>
로이슈가 제공하는 콘텐츠에 대해 독자는 친근하게 접근할 권리와 정정ㆍ반론ㆍ추후 보도를 청구 할 권리가 있습니다.
메일:law@lawissue.co.kr / 전화번호:02-6925-0217
메일:law@lawissue.co.kr / 전화번호:02-6925-0217
주요뉴스
핫포커스
투데이 이슈
투데이 판결 〉
베스트클릭 〉
주식시황 〉
| 항목 | 현재가 | 전일대비 |
|---|---|---|
| 코스피 | 3,941.59 | ▲96.03 |
| 코스닥 | 883.08 | ▲11.05 |
| 코스피200 | 550.01 | ▲13.64 |
가상화폐 시세 〉
| 암호화폐 | 현재가 | 기준대비 |
|---|---|---|
| 비트코인 | 169,900,000 | ▲1,522,000 |
| 비트코인캐시 | 827,000 | ▲6,500 |
| 이더리움 | 6,165,000 | ▲111,000 |
| 이더리움클래식 | 24,740 | ▲290 |
| 리플 | 3,928 | ▲36 |
| 퀀텀 | 3,060 | ▲40 |
| 암호화폐 | 현재가 | 기준대비 |
|---|---|---|
| 비트코인 | 169,764,000 | ▲1,314,000 |
| 이더리움 | 6,159,000 | ▲98,000 |
| 이더리움클래식 | 24,720 | ▲230 |
| 메탈 | 768 | ▲14 |
| 리스크 | 331 | ▲6 |
| 리플 | 3,927 | ▲31 |
| 에이다 | 1,012 | ▲11 |
| 스팀 | 138 | ▲2 |
| 암호화폐 | 현재가 | 기준대비 |
|---|---|---|
| 비트코인 | 169,830,000 | ▲1,380,000 |
| 비트코인캐시 | 826,500 | ▲4,500 |
| 이더리움 | 6,165,000 | ▲105,000 |
| 이더리움클래식 | 24,710 | ▲250 |
| 리플 | 3,928 | ▲34 |
| 퀀텀 | 3,042 | ▲27 |
| 이오타 | 224 | ▲4 |









