[로이슈 편도욱 기자] JTBC의 예능프로그램 ‘뭉쳐야 찬다’의 인기로 조기축구 열풍이 불고 있다. ‘뭉쳐야 찬다’는 한때 대한민국을 뒤흔들었던 안정환, 이봉주, 이만기, 허재, 양준혁, 여홍철 등 전설의 스포츠 슈퍼스타들과 모태범, 김요한, 진종오, 김동현 등 젊은 스포츠 스타, 정형돈, 김성주, 김용만 등 예능인이 함께 모여 조기축구 하는 과정을 담은 예능으로 동시간대 편성된 예능프로그램 중 1위(12월 1일 닐슨 기준, 7.009%) 를 차지할 정도로 높은 인기를 끌고 있다.
‘뭉쳐야 찬다’가 뜨자 조기축구 인기도 늘어나고 있다. 축구가 심폐 기능 개선을 돕는 유산소 운동과 근력을 키워주는 무산소 운동 모두에 운동효과가 있는 운동인 데다가 동시에 팀을 나눠 승부를 가른다는 점에서 성취감도 크기 때문이다. 특히 축구는 골밀도를 높여주고 노년기의 골절 예방에도 도움을 준다.
덴마크 코펜하겐대학의 연구 결과 축구를 즐기는 65~75세 노인은 운동의 거의 하지 않는 30세 남성과 비교했을 때 균형 감각이 별로 떨어지지 않는 것으로 나타났다. 또 연구진은 20~40대 남성에게 매주 2~3번씩 12주간 축구경기를 하도록 했더니 근육량과 다리뼈의 골밀도가 높아지고 균형 감각이 개선됐다고 설명했다.
축구는 이렇게 운동효과가 크지만 위험도 존재한다. 빠르게 뛰어야 하고 급하게 방향전환을 해야 하는 등 만만치 않은 근력을 요하는 운동이다. 또 드리블·슛·태클·헤딩·점프 등 모든 동작에서 부상이 일어날 수 있다. 태클과 몸싸움 등 몸에 큰 충격을 주는 일도 비일비재하게 벌어진다.
전문가들은 일반인이 축구를 함에 있어 가장 쉽게 부상을 당하는 부위는 발목이라고 말한다. 족부전문의인 연세건우병원 박의현 병원장은 “선수들처럼 근육이 발달되지도 않은 상태에서 공을 드리블하거나 상대 선수를 제치기 위해 페인트(눈속임) 동작을 하는 경우 발목 인대 부상 등을 입을 수 있다”고 설명한다. 또 “충분히 스트레칭을 하지 않은 상태에서 공을 차다가 아킬레스건이나 햄스트링 손상이 발생할 수도 있다”고 경고한다.
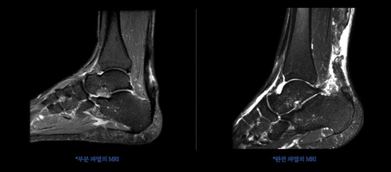
무릎 부상도 주의해야 한다. 빠르게 움직여야 하는 축구의 특성상 급격한 방향전환을 하다가 십자인대가 파열될 수 있다. 또 몸싸움 도중 무릎이 꺾이면서 부상을 입을 수도 있다.
그렇다면 부상 없이 조기 축구를 즐기기 위해서는 무엇을 준비해야 할까? 박의현 원장은 “축구 같은 무리한 운동을 하기 전에는 충분한 사전 운동을 해야 한다”고 설명한다. 박 원장은 “경기 중 입는 부상의 상당수는 준비운동만 열심히 했다면 예방할 수 있는 것”이라면서 “몸에 유연성을 높여주기 위해서라도 사전 스트레칭은 필수”라고 설명했다.
자신의 몸상태를 체크해가며 경기에 투입하는 것 역시 중요한 체크리스트다. 한 경기를 소화할만한 충분한 지구력을 확보하지 않은 상태에서 무리하게 경기에 나섰다가는 부상을 당하기 쉽다. 전문가들은 ‘35세가 넘었으면서 평소에 운동을 꾸준히 하지 않았던 경우에는 적어도 3~6개월 간 기초체력을 기른 뒤 경기에 참여하는 게 좋다’고 제안한다.
간혹 축구를 하다 부상을 입으면 열찜질을 하거나 뜨거운 탕에서 몸을 푸는 경우가 많은데 전문가들은 이것이 잘못된 방법이라고 설명한다. 박의현 원장은 “다친 후 즉시 열찜질을 하면 손상 부위의 염증이 더 심해진다”며 “다치면 20∼30분간 냉찜질을 하는 것이 좋다. 냉찜질은 통증을 덜어주고 손상 부위의 혈관을 수축시켜 출혈을 막아주며 부기를 가라앉힌다”고 설명했다.
편도욱 로이슈 기자 toy1000@hanmail.net
'뭉쳐야 찬다'로 부는 조기축구 열풍, 이것만은 조심해야
기사입력:2019-12-03 08:37:09
<저작권자 © 로이슈, 무단 전재 및 재배포 금지>
로이슈가 제공하는 콘텐츠에 대해 독자는 친근하게 접근할 권리와 정정ㆍ반론ㆍ추후 보도를 청구 할 권리가 있습니다.
메일:law@lawissue.co.kr / 전화번호:02-6925-0217
메일:law@lawissue.co.kr / 전화번호:02-6925-0217
주요뉴스
핫포커스
투데이 이슈
투데이 판결 〉
베스트클릭 〉
주식시황 〉
| 항목 | 현재가 | 전일대비 |
|---|---|---|
| 코스피 | 4,092.47 | ▲11.32 |
| 코스닥 | 891.19 | ▼10.40 |
| 코스피200 | 576.17 | ▲4.66 |
가상화폐 시세 〉
| 암호화폐 | 현재가 | 기준대비 |
|---|---|---|
| 비트코인 | 164,504,000 | ▲1,576,000 |
| 비트코인캐시 | 846,500 | ▲6,500 |
| 이더리움 | 5,845,000 | ▲48,000 |
| 이더리움클래식 | 23,760 | ▲250 |
| 리플 | 3,823 | ▲58 |
| 퀀텀 | 2,923 | ▲22 |
| 암호화폐 | 현재가 | 기준대비 |
|---|---|---|
| 비트코인 | 164,600,000 | ▲1,532,000 |
| 이더리움 | 5,849,000 | ▲49,000 |
| 이더리움클래식 | 23,740 | ▲230 |
| 메탈 | 700 | ▲2 |
| 리스크 | 315 | ▲3 |
| 리플 | 3,820 | ▲55 |
| 에이다 | 954 | ▲13 |
| 스팀 | 131 | ▲1 |
| 암호화폐 | 현재가 | 기준대비 |
|---|---|---|
| 비트코인 | 164,480,000 | ▲1,690,000 |
| 비트코인캐시 | 848,500 | ▲8,500 |
| 이더리움 | 5,845,000 | ▲45,000 |
| 이더리움클래식 | 23,730 | ▲250 |
| 리플 | 3,822 | ▲56 |
| 퀀텀 | 2,885 | ▼18 |
| 이오타 | 211 | ▲2 |









